
Ultrasonido Doppler a color de última generación y alta calidad
Tecnología de ondas ultrasónicas ultrafinas. Basada en la plataforma RF de VINNO, la tecnología de ondas ultrasónicas ultrafinas adopta la tecnología de decodificación adaptativa de eco que incluye el criterio de inteligencia artificial y el método de correspondencia adaptativo. De este modo, la frecuencia de transmisión se optimiza y permite obtener información precisa del eco real del tejido.
Tecnología VAid
Detección automática de lesiones de mama en tiempo real en la actualidad, la aplicación de la tecnología VAid es objeto de interés para toda la sociedad y se está desarrollando de forma constante en diferentes campos médicos. A través de la investigación independiente de VINNO y el desarrollo de algoritmos de núcleo, es posible lograr la detección automática de lesiones. Proporciona soluciones completas para hospitales y centros médicos.
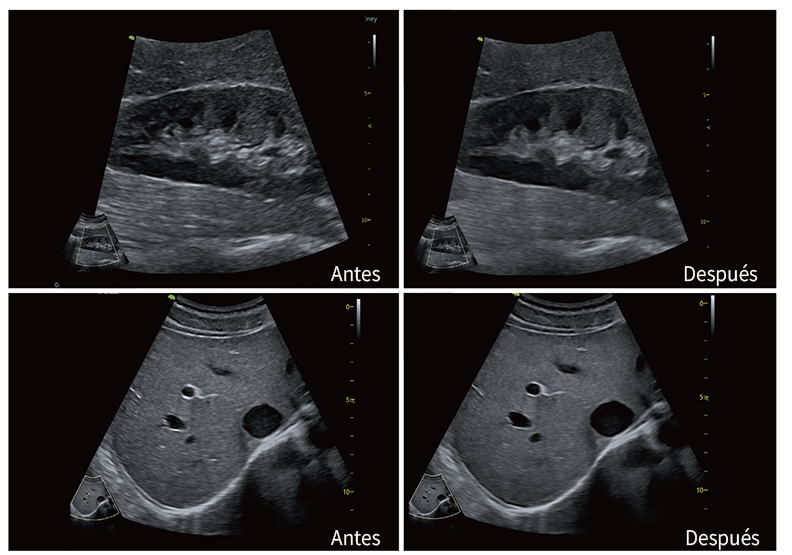
Tecnología VSpeckle de última generación
La tecnología VSpeckle de última generación combina la tecnología de decodificación adaptativa de eco y la tecnología de reducción de manchas para eliminar más manchas y obtener una imagen más clara.









Imágenes de la velocidad de deformación
Imágenes de la velocidad de deformación es la cuantificación de la deformación miocárdica, ya sea utilizando generación de imágenes Doppler del tejido (TDI, por sus siglas en inglés) o mediante el rastreo de manchas en imágenes 2D (2DTT, por sus siglas en inglés). Cada punto de la muestra se rastrea fotograma a fotograma a lo largo del ciclo cardíaco y se calcula su información de desplazamiento espacio-temporal dimensional para obtener la velocidad de deformación. Los valores positivos de deformación son el alargamiento, el engrosamiento o la rotación en el sentido de las agujas del reloj. Los valores negativos de deformación son el acortamiento, el adelgazamiento o la rotación en sentido contrario a las agujas del reloj. El gran beneficio de la tecnología de imágenes de la velocidad deformación es su capacidad para diferenciar entre el movimiento activo y pasivo de los segmentos miocárdicos, para cuantificar la disincronía intraventricular y para evaluar los componentes de la función miocárdica, tales como el acortamiento miocárdico longitudinal, que no se pueden evaluar visualmente, permitiendo así una evaluación completa de la función miocárdica, por lo cual el espectro de aplicaciones clínicas potenciales es muy amplio. el índice de ultrasonido preferido para identificar anormalidades en el movimiento de los segmentos miocárdicos
Eco de estrés
La ecocardiografía de estrés es una evaluación dinámica y no invasiva de la estructura miocárdica y de su funcionamiento bajo estrés externo (ejercicio o farmacología). LLos estreses externos aumentan los movimientos de la pared regional y su engrosamiento, creando un aumento de 3 a 5 veces en el suministro de sangre al miocardio para satisfacer la demanda en individuos normales. Los pacientes con miocardiopatía hipertrófica o dilatada no isquémica tendrán menos demanda debido a la patología, y la isquemia conduce a la disfunción del movimiento de la pared regional. Por lo tanto, la eco de estrés ayuda a evaluar visualmente y observar de forma objetiva (menos subjetiva en comparación con la ecografía estándar) la funcionalidad [mediante la diferenciación del movimiento activo frente al pasivo/inmovilidad] y los cambios estructurales [mediante diferenciación entre el engrosamiento/cicatriz/aneurisma y el abultamiento regional] que son más pronunciados bajo estrés. Se compara un análisis de referencia con los picos/etapas observados bajo estrés y se realiza un puntaje estandarizado de movimiento de la pared. Básicamente, se pueden obtener dos tipos fundamentales de información: la viabilidad de los tejidos y la reserva de flujo coronario
Imágenes 4D premium
Modos HQGrad, HQ Silhouette
Smart Workflow
- Touch Panel Operation: Volume image navigation in different angle by finger Page sliding operation for fast review
- Comment: Text added freely by finger Easy text position change by dragging operation
- Patient Information Management System: Complete patient information input item Fast index of patient information Vivid thumbnail images display area