
El G55 combina un rendimiento de primera categoría con un diseño compacto y elegante para satisfacer todas sus necesidades de imagen clínica. Experimente la calidad de imagen y durabilidad inigualable de este equipo y descubra cómo puede ayudarle a optimizar su flujo de trabajo a la vez que le proporciona el mejor nivel de cuidado para sus pacientes.
Zone Imaging
Una maravilla técnica que supera las limitaciones de la formación convencional del haz para proporcionar un perfil uniforme del mismo, una resolución mejorada y una penetración a lo largo de todo el campo de visión, y el uso de la formación de haz adaptativo tanto en los campos cercanos como en los lejanos.
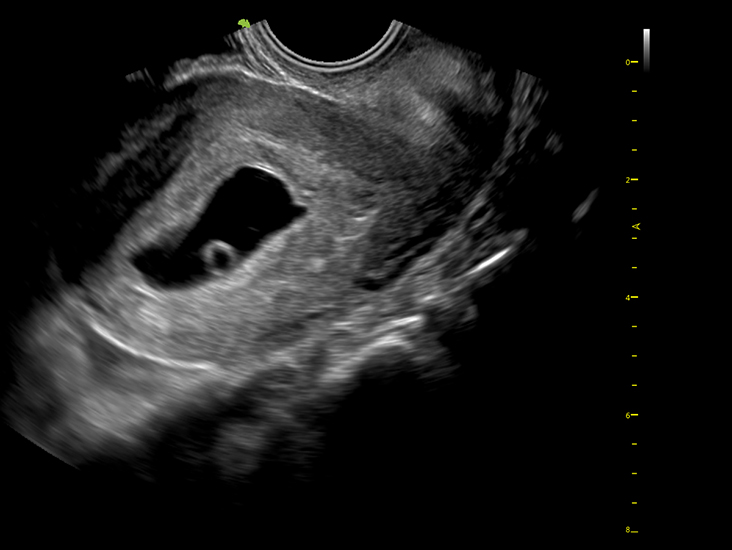
Zone Imaging con una sonda transvaginal: Zone Imaging le ofrece una mejor visualización de la línea endometrial y de los bordes del útero
Tecnología de sonda de cristal único














VINNO G55
Excelencia en un equipo compacto
Elastografía
- La elastografía es una técnica de imagen que mide la rigidez de los tejidos.
- La elastografía ayuda en una amplia gama de diagnósticos y seguimientos de enfermedades. La imagenología se puede usar para evaluar lesiones, detectar masas rígidas que pueden ser señales prematuras de algunas formas de cáncer, monitorizar pacientes con enfermedades hepáticas y localizar de forma más precisa las ubicaciones para biopsias.
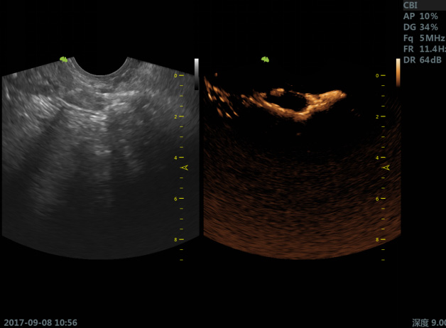
Imagen por contraste (Contrast Imaging): La imagen por contraste (Contrast Imaging) es una nueva técnica que hace uso de agentes de contraste basados en microburbujas para mejorar la ecogenicidad de la sangre, lo cual mejora a su vez la visualización y evaluación de cavidades cardíacas, grandes vasos y la vascularización de los tejidos.
Aplicaciones cardiovasculares
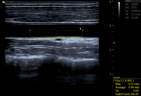
- Medición de IMT automático (Auto IMT)
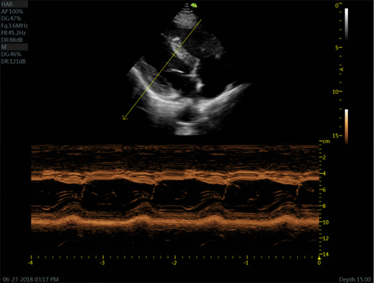
- Modo M multiángulo
- Doppler de tejidos/Imagen de velocidad de tejidos (TD/TVI)
- Medición de la FE automática
- Ecocardio de estrés